原标题:这种“感冒”鼻子反复流清涕,原来竟是大脑在“漏水”
通讯员 陈雯婧 于悦超 工人日报-中工网记者 窦菲涛
目前正值冬季呼吸道疾病高发期,流鼻涕是患儿们特别常见的一个症状,然而近期北京清华长庚医院接诊的一例患儿,年仅1岁8个月,反复流清涕不愈,尤其在用力哭闹时,鼻子就有水“滴答滴答”流下来,同时伴有高热、剧烈呕吐和抽搐等,最终被确诊为脑脊液耳漏,即不是鼻子的问题,而是大脑在“漏水”。

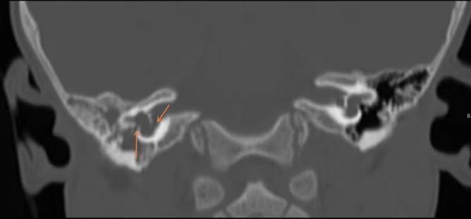
北京清华长庚医院耳鼻咽喉头颈外科副主任伊海金介绍,脑脊液耳漏是指脑脊液在颅内外压力梯度的作用下,从硬脑膜缺口及其所覆盖的颅骨缺损处经鼻腔、外耳道或开放伤口漏出的现象。这种“鼻涕”和普通鼻涕还不太一样,不粘稠,无色,更像清水。检查显示,患儿患有先天性内耳结构发育异常,不仅几乎无听力,言语发育受到影响,而且畸形的内耳与颅底相通,导致脑脊液自颅脑流入内耳、中耳、咽鼓管流到鼻腔,造成反复的鼻腔水样涕,过程中还导致感染,引发脑膜炎、吸入性肺炎等严重疾病。

经多学科讨论,在耳鼻咽喉头颈外科主任叶京英的指导下,伊海金主刀,陈雯婧主治医师为助手配合,为患儿实施全麻显微镜下脑脊液耳漏修补术,用腹部脂肪修补缺损的颅底。经术后抗炎、换药等对症治疗,患儿已摆脱了“流涕”的困扰。人工耳蜗植入是部分内耳畸形患者改善听觉的方式,在与家长充分沟通后,选择分期为患儿行人工耳蜗植入术,目前患儿已康复出院。
据伊海金介绍,脑脊液耳漏分为自发性与继发性。自发性的有可能是存在先天性硬脑膜薄弱、结缔组织疾病、内耳畸形等;继发性的多因头颅外伤、手术损伤等,还有部分患有中耳炎或耳部肿瘤的患者,突发耳或鼻溢液也要警惕脑脊液耳漏。正常人脑是闭合无菌的,而耳部为有菌环境,一旦二者交通,脑脊液流至中耳会导致颅脑感染,轻度感染会造成头晕、头痛、发烧等;严重感染会发展成脑膜炎甚至死亡。
脑脊液耳漏主要分为保守治疗和手术治疗两种方式。针对继发性脑脊液耳漏,可先保守治疗如降低颅压、适当卧床等,若保守治疗效果不佳,则需外科手术干预,通过修补材料如自体脂肪或筋膜来填补颅骨及脑膜的缺损。

北京清华长庚医院耳鼻咽喉头颈外科耳科学组医师团队
“如遇到鼻腔反复有清水样液体流出,或出现类似感冒、中耳炎等疾病迁延不愈,甚至出现头晕、头痛、发烧、呕吐等情况时,一定要足够重视,及时就医,避免引起严重后果。”伊海金提醒道。





关于中工网 | 版权声明 | 违法和不良信息举报电话:010-84151598 | 网络敲诈和有偿删帖举报电话:010-84151598
Copyright © 2008-2026 by www.workercn.cn. all rights reserved
×