原标题:吃完火锅嗓子疼,26岁姑娘从就诊到去世仅10分钟……
近日,一则消息引发网友热议。一位26岁姑娘晚上结束加班,赶到火锅店为好友庆生,结束聚餐回到家,姑娘觉得喉咙有点疼,以为是当晚吃的火锅太辣导致的,没放在心上。

微博截图
次日清晨,姑娘发觉嗓子疼痛加重,甚至连呼吸都有点困难。在家吃了点消炎药去上班,没想到情况更加严重,出现了憋气感、畏寒。她请假去医院的路上,呼吸困难症状加剧。到了医院,她突然大口呼气,倒地不起,等不及抢救,心跳骤停,呼吸停止。
从就诊到抢救,短短10分钟
一个年轻的生命就此陨落

什么原因导致一个人在短时间内死亡?
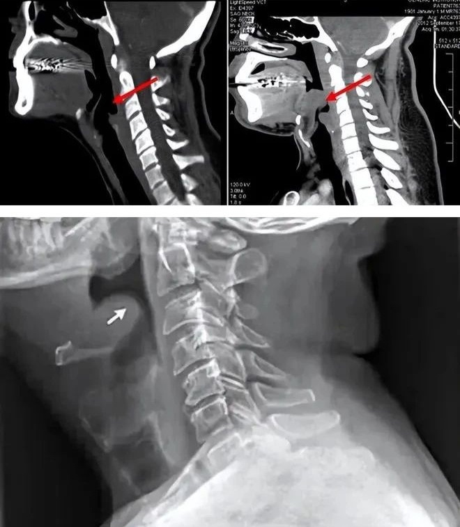
医生结合姑娘之前的种种症状,加之检查时发现她会厌充血肿胀堵塞声门,判断夺命“凶手”是急性会厌炎。急性会厌炎是什么?真那么凶险吗?
我们先来了解一下会厌。它位于人体气管上方,舌根的根部。人在说话或呼吸时,会厌向上,使喉腔开放;咽东西时,会厌则向下,盖住气管,使食物或水不至于进气管之内造成呛咳。

图片来源:北京卫视节目截图
杭州师范大学附属医院耳鼻咽喉科周国文副主任医师介绍,急性会厌炎是耳鼻喉科急重症之一,主要表现为会厌高度水肿,这是一种主要累及喉部声门上区的会厌及其周围组织的急性炎症病变。“严重的急性会厌炎,如果没有及时处理,短短十几分钟就足以让人窒息,带来致命伤害。”周国文表示。
21岁小伙通宵打游戏
急性会厌炎发作,气管切开救回一命
周国文曾接诊过一位年轻的急性会厌炎患者,是个21岁的小伙子,经常熬夜通宵打游戏。那次玩了通宵,第二天也不好好补觉,结果白天出现了咽痛的情况,到门诊就诊,周国文发现他会厌部水肿,考虑急性会厌炎,叮嘱他不要走开,需要给与激素静推治疗,等待进一步入院观察,没想到小伙子一听要住院,觉得是医生在吓唬他,一点咽痛住什么院,溜回家了。
当天晚上9点多,小伙突然出现了呼吸不畅,嘴唇发紫,人很烦躁,被家人送到杭师大附院急诊抢救,“我们去会诊时,他已经出现了三度呼吸困难,会厌肿大如球状,堵住了大部分气道。”
经过急诊抢救后,小伙被送往病房,由于激素静推治疗效果不好,周国文为他做了气管插管,但发现他的声门几乎找不到了,于是决定紧急床边气管切开,好在救治及时,气管切开的瞬间,呼吸通畅了,恢复呼吸的小伙情况慢慢好转。“对于急性会厌炎患者,必要的留院观察非常重要,病情发展、变化往往猝不及防。像这位小伙,如果他再耽误点时间,很可能出现心脏骤停、呼吸停止,这个时候再想救回来就很困难了。”
还有一位46岁的女患者则没那么幸运了。这位患者出现咽痛等症状,在当地的小诊所以感冒治疗,挂了几天盐水没效果,出现了呼吸困难,120将她送到杭师大附院急诊时,已经心脏骤停、呼吸停止。周国文前去会诊,经过间接喉镜检查,患者会厌水肿,声门完全堵塞,无法呼吸,也正是因为这个导致了悲剧的发生,心肺复苏也没能挽回她的生命。
激素治疗是主要方法
一旦进展严重需要气管插管或气管切开
周国文表示,急性会厌炎虽然很凶险,但只要及时就医,明确诊断,治疗并不困难。通常激素治疗较有效,激素的使用可在短时间内改善水肿,再配合抗生素控制炎症。
如果一旦进展到严重的呼吸不畅时,就会发生致命危险,必须立即进行快速气管插管或是气管切开,才能挽救一命。有时候医生来不及准备气管切开时,而患者出现窒息,甚至血氧饱和度明显降低,会选择环甲膜穿刺术,以暂时打开气道,为气管切开抢救争取时间。
吃火锅喝冰水
一热一冷更易引发炎症水肿
急性会厌炎是一种较为常见的咽喉急性炎症,无论老幼,均可能中招。细菌感染和病毒感染,是急性会厌炎最常见的病因。
周国文的门诊每周都会接诊两三例急性会厌炎患者,男女老少都有。“患者通常以咽痛、嗓子有异物感前来就诊,经过间接喉镜等检查,都出现了会厌水肿。“周国文说,就诊患者一类是老年人或糖尿病患者群体,他们通常免疫功能低下,会加重感染;年轻人更多则是因为作息不规律,熬夜等原因,造成机体免疫力下降,一旦受凉感冒等,容易发生急性会厌炎。
过敏体质人群也要注意,一旦碰到过敏可能也会出现会厌水肿情况,要特别警惕过敏反应,特别是累及咽喉等反应。
此外,很多人喜欢吃火锅等高温、辛辣食物,再来杯冰酷饮料,周国文表示,这种进食习惯也不可取。“进食烫的食物,可能不小心就会烫伤黏膜,引起会厌水肿。另外,一冷一热的饮食,血管一会收缩一会扩张,也容易造成炎症水肿。“
眼下气温高高低低最易咽痛感冒,什么样的咽痛需要引起警惕?周国文表示,出现急性剧烈咽喉疼痛,尤其是咽喉中心部位的疼痛,吞咽困难、有异物感甚至呼吸不畅时,一定要立即就医,以免延误病情。
“日常生活也要积极预防急性会厌炎,加强锻炼以增强免疫力,保持口腔卫生,少喝酒少抽烟,对于会厌临近器官的急性炎症要及时治疗,防止蔓延。”周国文提醒。
快速判断急性会厌炎
1、凶险的急性会厌炎
会厌是喉部声门上方的一块软骨,位于下气道的入口处,需要借助喉镜才能看见。
健康的会厌,外形上像个树叶片,是我们人体“咽喉要道”的守护者——当我们进食食物时,它向下盖住“喉咙口”,避免食物进入气管,而顺利进入食管、胃;而当我们正常呼吸时,它也能充分张开,从而保证气流经喉、气管,最终到达肺,以进行气体交换。
2、会厌肿胀,会引起窒息
当会厌发炎,就会出现不同程度的肿胀,严重时甚至会肿成球形,体积超过原来的5-6倍,会厌重量增加,从而遮挡住“喉咙口”,患者就会像被人掐住脖子一样透不过气来。此时如果不及时处理,一旦完全堵塞气道,就会有生命危险了。
一般急性会厌炎的病情进展十分迅速,从咽喉剧痛到窒息,十几分钟到几小时不等,而窒息6分钟以上,没及时解决气道问题,往往就没有挽救的余地了。
3、易被误诊、忽视的急性会厌炎
需要警惕的是,急性会厌炎很容易误诊,因为发病时,患者一开始的感受基本都是咽痛、吞咽困难,多数人会以为是扁桃体发炎、咽炎或者感冒,一般不会引起重视,延误了治疗时机。
那究竟该如何辨认急性会厌炎呢?学会辨别急性会厌炎:
①咽喉剧痛,吞咽时加剧,甚至唾液也难咽下。
②说话也因会厌肿胀而含糊不清,犹如口中含物一般。
③吸气性呼吸困难,喘不过气。
④轻症者全身症状不明显,重症者多有发热、寒战,体温在38℃~39℃之间,少数可高达40℃以上,此外还有头痛、乏力、周身不适、食欲减退等症状。
特别是在淋雨,喝酒、聚餐或劳累、受寒后发生咽喉不适、呼吸不畅的情况,多半是急性会厌炎找上门,一定要及时就诊。
4、诱发急性会厌炎的4个常见原因
急性感染性会厌炎在成人、儿童都可以发生,春秋两季多见。最常见病因是以下4种:
①感染。像身体抵抗力下降、年老体弱的人容易感冒,感染乙型流行性感冒杆菌、链球菌、葡萄球菌等常见致病菌,使咽喉部长期处于细菌感染的情况之下,很容易诱发急性会厌炎。
②邻近器官感染。经常出现鼻炎、鼻窦炎、鼻咽炎、咽喉炎,下呼吸道比如肺炎、气管炎等疾病若久治不愈,有可能蔓延侵及会厌引起急性感染。
③喉部的创伤、异物及有害气体的刺激等也容易引发会厌黏膜的炎性病变。
④过敏反应,像吸入花粉、空气粉尘等也是急性会厌炎的病因之一,且这种会厌炎进展极为迅速,甚至几分钟就可诱发死亡。
网友评论:




来源 | 综合都市快报、极目新闻、新闻晨报、我是大医生、网友评论





关于中工网 | 版权声明 | 违法和不良信息举报电话:010-84151598 | 网络敲诈和有偿删帖举报电话:010-84151598
Copyright © 2008-2025 by www.workercn.cn. all rights reserved
×