【特别报道】200名工人的呼吸之痛
贵州施秉县恒盛公司重大职业病危害事故背后

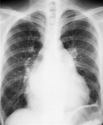
刚刚入秋,“秋老虎”依然炙热灼人。炎炎烈日里,农民工刘克喜却每天都紧紧裹着身上厚重的毛衣。这半年来,肺炎和感冒如同老朋友似的“粘”上了他,而这种“交往”付出的代价是,他眼睁睁的看着健康如同空气般从体内一点点被抽走。矽肺病二期——在这个沉重的阴影下,他步履蹒跚,40步楼梯台阶整整爬了半个小时有余。
刘克喜身后,还有200名农民工也经受着像他一样的折磨。而给他们带来伤害的,正是一家号称贵州“硅谷”的工业硅生产企业——贵州施秉县恒盛有限公司。
8月6日,随着恒盛公司的轰然倒下,这场引起社会舆论广泛关注的重大职业危害事故处理结果最终揭晓。此次重大职业危害事故中23名责任人分别受到了移送司法机关追究刑事责任、留党察看、行政记大过、行政记过等处分。患病的工人多数获得治疗并获得了当地人事劳动社保部门一次性工伤保险赔付。
沉痛背后,留给我们又是怎样的深思?
“带病十年”的亚洲第一硅厂
贵州省黔东南州施秉县七里冲工业区,这里山清水秀,绿树成荫。
就在一处山谷内,透过厚重的云雾,就发现这些绵延三四公里的围墙,里面包裹着大大小小的灰红色的砖瓦厂房,高耸的烟囱近来已然不再吐出烟尘。曾经号称贵州“硅谷”的施秉县恒盛公司就坐落于此。
1999年,恒盛公司通过招商引资从湖南省进入施秉。该企业进驻当地仅仅数年,就在当地党委、政府和有关职能部门全方位扶持下,成为年生产能力15万吨,生产规模居全球第三、亚洲第一的工业硅生产企业。
几年来,恒盛公司先后多次被各级组织授予“先进企业”称号,还被贵州省国税、工商部门评为“诚信纳税企业”、“重合同守信用单位”等。2009年10月,在施秉县“学习和实践科学发展观”活动中,该企业还成了当地“学习和实践科学发展观”的好典型。
然而,就是这样一家被无数光环笼罩的企业,日后却被爆出是一个“带病运行”十年之久的以牺牲职工生命健康,以牺牲当地资源、环境为代价畸形发展的高耗能、高污染企业典型。
企业每生产一吨工业硅,平均耗电1.3万度,电费成本占公司生产成本的比重通常都在50%以上。当地群众普遍反映,由于工厂处于山谷之中,烟气不易扩散,整日笼罩整个工厂区。严重的粉尘污染,使得人在厂区周围行走都会明显感觉到呼吸困难,就连离厂区有一段距离的宿舍区每天也得打扫至少4次才显得不脏。并且恒盛公司先后多次被环保部门列为省级重点工业污染源。
刘克喜等曾在该公司工作的工人师傅们告诉记者,在他们被诊断为矽肺病前,公司从没告知他们,在污染环境中作业受到什么危害,平时对粉尘的所谓防护,就是每月给炉台上的工人发两个纱布口罩。“如果口罩不能用了,就洗洗重新用,里面都是黑糊糊的。”
记者了解到,恒盛公司仅在2009年开展过一次职工全面体检,且未按规定建立职工健康档案,从企业领导到普通职工均缺少职业健康及职业病防治常识,缺少职业病防治专职人员。
不仅如此,恒盛公司在维护劳动者健康权益方面也存在明显漏洞,该公司虽与1173名在册职工签订了劳动合同,但是却未将职业病危害如实告知对方,也没有依法为职工缴纳工伤、养老、医疗、失业和生育保险,只在2009年7月份为493名生产一线职工缴纳了工伤保险。该公司34台工业冶炼炉未执行环评和“三同时”制度,部分冶炼炉未同步配套安装冶炼炉烟气治理设施。
经过限期治理,直到2006年恒盛公司才建成了6套除尘器并补办了环境影响评价审批手续,但就是这6套除尘器也在2008年因损毁严重不能正常使用。这些都为职工身体健康埋下重大隐患。
200名工人确诊
刘克喜是恒盛公司第一个被确认为矽肺病的职工。
2008年,由于长期在粉尘环境中作业,刘克喜终于发病,他感到头晕眼花,胸闷。于是前往黔东南州人民医院检查,医生检查后告诉他很可能得了矽肺病。
事实上,恒盛公司的部分工人早在2006年就出现头晕、气闷、乏力等症状,有的工人不能继续上班,只好辞职回家,但公司并未给予应有的重视。刘克喜告诉记者,据他所知,部分农民工得到厂里面给的2万元“补助”后就主动离开了。
2008年至2009年间,恒盛公司先后给职工开具了31份职业危害接触史证明,经贵州省疾控中心进一步诊断,这些工人中姜仁生、刘克喜等5名工人被确诊为矽肺病,另有部分职工被要求进行半年或一年医学观察。面对这些危险的端倪,恒盛公司依然视而不见。
终于,矽肺病的消息引起了越来越多职工的恐慌。今年3月,一些患病的职工将恒盛公司可能上千工人患职业病这一情况在百度贴吧、天涯社区等网站上发布,引起了中央领导高度重视,国家有关部门和贵州省有关部门分别组成督查组和调查组进驻公司,恒盛公司大量工人患矽肺病的黑幕才最终被揭开,企业首次被责令停产。今年4月,在上级部门的督促下,恒盛公司才对公司目前在岗在册和部分已离厂的工人总共1337人进行了职业健康检查。
然而,令人感到匪夷所思的是,在矽肺病患者的治疗、赔偿等问题尚未解决、事故调查结论尚未公布的情况下,当地政府却又在进行协调,试图让这家高污染、高耗能企业早日恢复生产。
“我现在平均2个月就感冒一次,都成了医院的常客了。而且我还不敢脱衣服,怕感冒引发肺炎,身体越来越差了。”采访中,刘克喜用沙哑的嗓音向记者诉说着,为了节省说话的力气,他甚至憋住了悲痛的心情,不敢大声哭泣。“我想哭不敢哭,人活到我这个地步,真造孽。”
截至7月2日,恒盛公司先后共有1343名职工进行职业健康检查和职业病诊断,最终确诊矽肺患者200例。
23名责任人被处分
为何一个“带病运行”的企业可以运行十年之久?
8月6日,贵州省召开全省安全生产通气会,会上宣布了对恒盛有限公司重大职业危害事故中相关责任人和单位处理意见。调查认为,恒盛公司这起职业危害事故是一起群发性、社会影响较大的责任事故。这起事故发生的主要原因,是工业硅冶炼过程产生的烟尘中游离二氧化硅含量较高,这些物质进入空气中成为可吸入颗粒物能直接进入人体肺部,长期吸入导致矽肺病。事故的发生与公司厂区布置不合理,生产设备较简陋,企业对职业卫生工作不重视,施秉县有关部门监管不力,把关不严等有直接关系。
在工伤赔付方面,当地人事劳动社保部门按规定对199名矽肺病患者进行了工伤认定和劳动能力鉴定,另有1人已与公司自行解除劳动合同。根据患病职工的申请,对191名患者进行了一次性工伤赔付共计2914.05万元。
但我们无法回避这样一个事实,恒盛公司能在当地快速发展显然与当地领导和有关部门的大力扶持密不可分。建厂需要办理的手续,有关部门特事特办,只用8天就办妥了。公司资金周转遇到困难,县财政拨5万元专款扶持。重大事故发生前,尽管当地安监、卫生等部门曾下达整改通知书,但由于某些领导保护,“有关整改措施落实得都很差”。据调查,2009年恒盛公司向这个国家级贫困县提供直接税收达7000多万元,支撑着该县常年财政收入的半壁江山,其生产的工业硅占到了全县工业总产值的50%以上。
对此,一位贵州省社科院专家认为,长期以来一些西部省份采取资源开发战略,形成了以能源、原材料为主导的工业结构,这种结构产品附加值较低,在经济收入较少的情况下容易造成环境破坏,不少地方政府也陷入了“资源开发——财政盈利——环境污染——投钱治理”的怪圈。
“能不能处理好经济发展与环境保护之间的平衡,这涉及子孙后代的重大利益,它更考验着我们官员的执政能力。”该专家认为。
然而令记者担忧的是,据有关部门调查资料显示,类似高耗能、高污染企业,在黔东南州还有多家。
新闻链接
部分责任人名单:
恒盛公司董事长、总经理刘振荣负有主要责任,接受经济处罚,留党察看一年
恒盛公司安委办主任张安洲负有重要责任,已被移送司法机关,将追究其刑事责任
恒盛公司副总经理徐昌杏负有重要责任,已被移送司法机关,将追究其刑事责任
恒盛公司副总经理宋绪军负有重要责任,已被移送司法机关,将追究其刑事责任
施秉县政府分管卫生工作的副县长王作飞负有领导责任,行政警告处分
施秉县政府分管安全生产工作的副县长刘华雪负有领导责任,行政警告处分
施秉县政府县长敖琼负有领导责任,向黔东南州政府作书面检查
施秉县委书记彭世平负有领导责任,向黔东南州政府作书面检查
黔东南州卫生局党组书记金鸣昌负有领导责任,向黔东南州政府作书面检查
黔东南州安全监管局长易承黔负有领导责任,向黔东南州政府作书面检查
黔东南州政府副州长刘晓春负有领导责任,向省政府作书面检查
黔东南州政府副州长张仕福负有领导责任,向省政府作书面检查



×