-
距离人生新目标 博尔特“差点儿钱”
8枚奥运会金牌得主、男子100米跑世界纪录保持者、绰号“闪电”的牙买加短跑名将博尔特,眼下距离实现自己转行职业足球运动员的梦想仅“一步之遥”。
-
殷桃:好好把角色演好就是王道
由林柯执导,黄晓明、殷桃主演的现实主义题材剧《你迟到的许多年》正在湖南卫视热播。剧中,殷桃饰演了一位不同于以往荧屏形象的女军医莫莉,与黄晓明饰演的老虎连连长沐建峰演绎了一段跨时代的动人情感。日前,殷桃接受媒体微信群访。

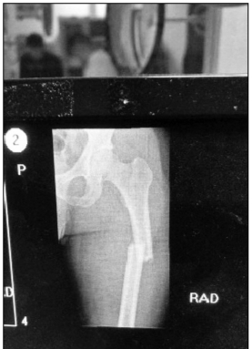
王泽奇大腿骨折的X光片

王泽奇受伤后被送往医院
从警不到两年的昌平公安分局刑侦支队民警王泽奇,近日带队打掉了一个作案20余起的入室盗窃团伙。而10月26日凌晨,王泽奇在与同事对该团伙成员实施抓捕时,因追捕一名嫌疑人致大腿骨折,目前已被送往医院治疗。
带队抓捕入室盗窃团伙
今年10月以来,昌平区发生了多起在夜间利用卡片开锁,实施入室盗窃的案件。为了尽快破案,昌平公安分局刑侦支队打击入室盗抢队民警王泽奇和同事通过视频追踪、秘密蹲守摸排了多日,终于锁定了一个犯罪团伙的行踪。
10月25日下午,王泽奇和同事们果断收网,一举抓获了12名盗窃嫌疑人。案件审讯过程中,该团伙成员交代,另一个湖南籍盗窃别墅的犯罪团伙,当晚将会到昌平区流村镇实施盗窃。经核实,这正是王泽奇前期负责侦查的另一伙犯罪嫌疑人。
情况紧急,王泽奇立刻和同事出发,会同属地派出所民警展开抓捕。26日凌晨4点多,刚刚实施完盗窃的团伙成员就被民警堵在了一处工地旁。看到突然出现的民警,犯罪嫌疑人四散逃窜。王泽奇和同事按照事前制定的方案分头抓捕。
扑倒嫌犯后大腿骨折
就在抓捕过程中,其中一名嫌疑人逃向了不远处的工地,跳到了一处3米深的大坑内。为了不让嫌疑人逃脱,王泽奇紧跟着也跳了下去,将嫌疑人扑倒在地,在随后赶来的同事配合下,将嫌疑人抓获归案。
直到这时,王泽奇才感到左腿一阵剧痛。同事们连忙将他紧急送往医院。经过X光片检查,大家都被惊呆了,他的左腿股骨近端骨折并错位。难以想象他是凭着怎样的毅力,坚持完成了抓捕任务。
王泽奇对自己的伤情并没有太过在意,说起当时的情形,他说:“当时情况紧急,来不及多想。我是刑警,不能让犯罪嫌疑人在我眼前跑了。”
历时3个多小时手术成功
今年26岁的王泽奇,2016年12月参加公安工作。王泽奇说他从小的梦想就是当警察:打击犯罪,维护正义。从警后,他主动申请到刑侦支队工作。工作中,他不惧危险,总是冲锋在前,因为工作成绩突出,从警一年多就荣立了个人三等功一次。
这次打掉的入室盗窃犯罪团伙就是王泽奇带组负责的,前期已经侦查了一段时间。目前经过初步审查,已核实该团伙在昌平区入室盗窃作案20余起。现案件正在进一步工作中。
10月27日上午,王泽奇完成了历时3个多小时的手术。医生介绍说手术很成功,但是术后仍然需要休养一段时间。他表示,一定安心养伤,争取早日回到工作岗位。文/本报记者 匡小颖
8枚奥运会金牌得主、男子100米跑世界纪录保持者、绰号“闪电”的牙买加短跑名将博尔特,眼下距离实现自己转行职业足球运动员的梦想仅“一步之遥”。
由林柯执导,黄晓明、殷桃主演的现实主义题材剧《你迟到的许多年》正在湖南卫视热播。剧中,殷桃饰演了一位不同于以往荧屏形象的女军医莫莉,与黄晓明饰演的老虎连连长沐建峰演绎了一段跨时代的动人情感。日前,殷桃接受媒体微信群访。
学经济学的肖佳,回国却做起了对技术研发要求很高的环保行业。对新兴事物的热爱、勇于挑战自我的特质,促使她转向高新技术领域创业。谈及未来的发展,她希望能够守住自己的初心,把企业的社会责任放在首位。
首届中国国际进口博览会举办前夕,上海虹桥机场1号航站楼改造后全面启用,国内航班出港实现全自助流程成为最大亮点。自助值机、自助托运行李、自助登机设施等让这座近百年历史的机场焕然一新,也让旅客“尝了鲜”。这是由春秋航空联手机场打造的全流程自助服务,也是春秋航空敢为人先的又一举措。



×